Gå til hovedinnhold Gå til hovedmeny
Foto: Siv Dolmen

Hjerneslag

Hjerneslag er en fellesbetegnelse for hjerneinfarkt og hjerneblødning.

Rådgivningstjeneste

I Norge rammes ca. 12 000 personer av hjerneslag hvert år, det tilsvarer rundt 35 nye tilfeller hver dag.

Symptomer på hjerneslag inntreffer plutselig og uventet med tap av en eller flere kroppsfunksjoner. I de fleste tilfeller skjer det gjennom halvsidig nedsatt kraft i arm/bein, talevansker (problemer med å snakke eller forstå enkle ord/setninger) eller som ansiktsskjevhet. Symptomer på hjerneslag

Andre symptomer på hjerneslag kan være nummenhet i en kroppshalvdel, synsforstyrrelser (for eksempel tap av sidesyn, dobbeltsyn eller blindhet på ett øye), nedsatt balanse eller koordinasjon eller plutselig innsettende, eksplosjonsaktig hodepine som fører til at man umiddelbart avbryter aktiviteten man holder på med.

Har du mistanke om at du - eller den du er sammen med - har fått slag, prøv å gjøre disse handlingene:

  1. Snakke tydelig.
  2. Vise tennene.
  3. Løfte armene.

Er en eller flere av disse handlingene vanskelig å gjøre kan det være tegn på hjerneslag. Merk at symptomene kan variere i både styrke og fremtoning.

Anne Hege Aamodt om hjerneslag

Hva er egentlig et hjerneslag? Når hjernen rammes, teller hvert sekund. Visste du for eksempel at nesten 2 millioner hjerneceller dør hvert minutt under akutt hjerneslag? Med Anne Hege Aamodt, spesialist i nevrologi, overlege, seniorforsker ved Oslo universitetssykehus, Rikshostpitalet og NTNU. Støttet av Stiftelsen Dam.

Risikofaktorer

Hjertesykdom og hjerneslag

Det er en nær sammenheng mellom hjertesykdom og hjerneslag. De to sykdomsgruppene har klare fellestrekk spesielt når det gjelder risikofaktorer, behandling og prognose.

Høyt blodtrykk og hjerneslag

Hypertensjon, omtalt som høyt blodtrykk, er den viktigste risikofaktoren for hjerneslag/TIA (Transitorisk iskemisk anfall), både for første gangs slag og for residiv.

Karotisstenoser – hvorfor haster det med utredning?

Karotisstenoser (avleiringer i halspulsårene) og hjerneinfarkt har en nær sammenheng, og man anslår at blodpropper fra de store halspulsårene kan forårsake så mange som 30 prosent av alle hjerneinfarkt.

Les mer om

Hjerneslag

Hjerneslag skyldes enten blodpropp i hjernen eller en blødning i hjernens blodårer. Avhengig av området som rammes, kan hjerneslag gi lammelser, talevansker, synsforstyrrelser og bevisstløshet.

Hjerneinfarkt

Hjerneinfarkt skyldes enten en blodpropp som utvikler seg i en blodåre i hjernen, eller en vandrende blodpropp som er dannet et annet sted i kroppen.

TIA

TIA gir forbigående symptomer av samme karakter som ved hjerneslag, men går over etter kort tid, gjerne bare minutter. TIA kan i noen tilfeller være et forvarsel om hjerneslag, det er derfor viktig å kontakte legen raskt selv om symptomene er kortvarige. De senere år har risikoen for påfølgende hjerneslag blitt redusert.

Hjerneblødning

Hjerneblødning kan oppstå i alle deler av hjernen, eller på hjernens overflate, og omfatter mellom 10-15 prosent av alle hjerneslag.

Hjernehinneblødning

Hjernehinneblødning (subaraknoidal blødning - SAB) er en blødning i det væskefylte hulrommet mellom to av hjernehinnene som dekker hjernen.

Moyamoya

Moyamoya er japansk for diffus og tåkete og beskriver hjerneforandringene som påvises ved angiografi. Moyamoya er en sjelden cerebrovaskulær sykdom, og er ikke en revmatisk tilstand.

Hjerneslag i lillehjernen

Symptomene på skade i lillehjernen er mindre kjent enn skader andre steder ved hjerneslag. Følgetilstandene kan også være andre enn ved slag i storhjernen.

Hjerneinfarkt uten kjent årsak

Når en rammes av en alvorlig sykdom som hjerneslag er det viktig for mange å få en forklaring på hvorfor en har blitt syk. 20-40 prosent av alle hjerneslag er imidlertid hjerneinfarkt uten kjent årsak.

Hjerneslag hos barn og unge

Hjerneslag kan ramme når som helst i livet, og også barn og unge kan få slag, selv om det forekommer sjelden.

Sigdcellesykdom

Noen barn og unge er født med en sykdom som kalles sigdcellesykdom.

Les mer om

Behandling og utredning ved hjerneslag

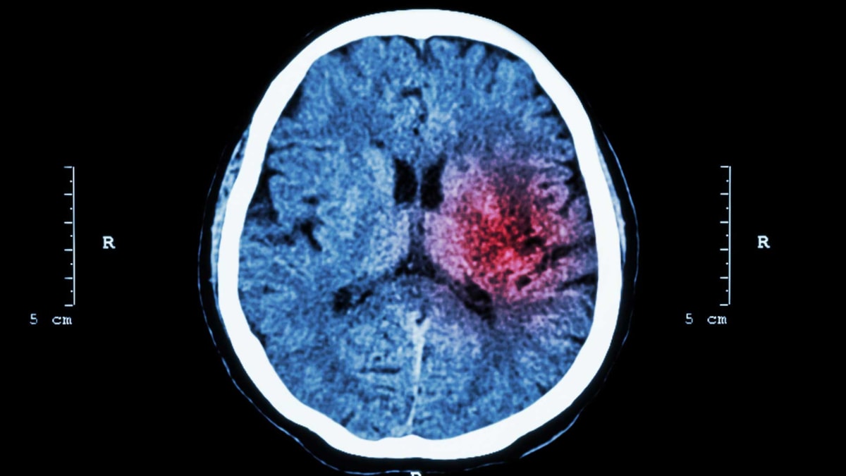
For å behandle hjerneslaget må en skille mellom hjerneinfarkt og hjerneblødning. Da må det tas CT- eller MR-bilde av hodet. Vanligst er det å ta et CT-bilde først. Dette gjøres raskt etter innleggelse i sykehus. En blodpropp ses ikke alltid på de første bildene, mens en blødning ses ofte umiddelbart.

Rehabilitering ved Hjerneslag, Skogli Helse- og Rehabiliteringssenter

Livet etter hjerneslag

Et hjerneslag fører ofte til en ny og annerledes livssituasjon. Slaget kan svekke både den fysiske og psykiske helsen, og by på mange store og små utfordringer i hverdagen.

Foto: Siv Dolmen

Hva skjer når du får hjerneslag?

Får du problemer med å prate, smile eller løfte må du umiddelbart ringe 113. Men hva skjer videre?

Vi følger gjennom denne arrangerte bildereportasjen en person som har fått symptomer på hjerneslag, som senere viser seg å være et hjerneinfarkt, det vil si slag forårsaket av blodpropp. Thoralf Bergersen fra Oslo, som stiller opp som markør her, har selv gjennomgått hjerneinfarkt.

Livet etter hjerneslag

Mange klarer seg bra etter et hjerneslag. Men et slag kan også føre til en ny og annerledes livssituasjon. Hjerneslaget kan svekke både den fysiske og psykiske helsen, og gi kognitive vansker. Hverdagen kan by på mange store og små utfordringer, og vår oppgave er å bidra til å gjøre den lettere:

Se alle våre tilbud og tjenester: Vi kan hjelpe deg

Om hjernen

Hjernekartet

Vi har laget et digitalt hjernekart, som viser deg hvordan det ser ut inne i hjernen og hvordan hjernen fungerer. Og hva som skjer når det oppstår en skade i hjernen. 

Gå til hjernekartet

Ordliste

Afasi
En språkforstyrrelse som har oppstått, ofte etter hjerneslag.
Aneurisme
En utposning på en blodåre som følge av en svakhet i blodåreveggen.
Atrieflimmer
Uregelmessig og ofte rask hjerterytmeforstyrrelse. Ofte kalt hjerteflimmer.
Coiling
En innvendig tetting av en aneurisme/utposning ved hjelp av platinatråder som stanser blodtilførselen i aneurisme. Dette gjøres via et tynt kateter.
Hemianopsi
Tap av halve eller deler av synsfeltet. Homonym hemianopsi betyr at halve synsfeltet fra begge øynene faller ut.
Hjerneinfarkt
Et område av hjernevevet ikke får sirkulasjon på grunn av tilstoppet blodsirkulasjon. Dette fører til at hjernecellene/nevronene dør.
Intracerebral blødning
Hjerneblødning, blødning inne i hjernevevet.
Klipsing
En metallklemme settes over en aneurisme og sikrer dermed at det sprekker.
Kraniektomi
Betyr å åpne og fjerne en beinlapp, del av kraniet.
Nevrologi
Læren om sykdommer som omhandler nervesystemet.
Nevroner
Betyr nerveceller. Ved hjerneslag snakker vi om de spesialiserte nervecellene i hjernen.
Plakk
Avleiringer av fettstoffer på innsiden av blodårene som fører til arteriosklerose og innsnevringer av blodårene.
Plastisitet
Handler om hjernens evne til endring og nyetablering av forbindelser og struktur slik at restitusjon og reparasjon kan foregå etter skade.
SAB
Forkortelse for subaracnoidalblødning, hjernehinneblødning.
TIA
Transitorisk iskemisk atakk eller “drypp” som gir forbigående slagsymptomer.
Trombe
En vandrende blodpropp, ofte fra hjertet.
Trombendarterectomi
Arteriosklerotiske avleiringer skrelles bort, dette er aktuelt ved avleiringer på halspulsårene, carotisstenose.
Trombektomi
Fjerning av en blodpropp i de store blodårene inne i hjernen.
Trombolyse
Blodproppløsende medikament som brukes blant annet i hjerneslagbehandling.